Casos Clínicos

Transformações Reais, Sorrisos Verdadeiros

Na Clínica RR, acreditamos que cada sorriso conta uma história. Através da nossa experiência e tecnologia inovadora, ajudamos os nossos pacientes a recuperar a confiança e a saúde oral.

Antes e Depois
Veja os resultados incríveis alcançados pelos nossos especialistas. Cada caso clínico reflete o nosso compromisso com a excelência e a personalização dos tratamentos.

ANTES
DEPOIS
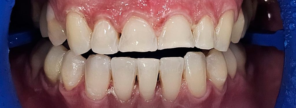
Estética Dentária
Branqueamento

Branqueamento externo.

ANTES
DEPOIS
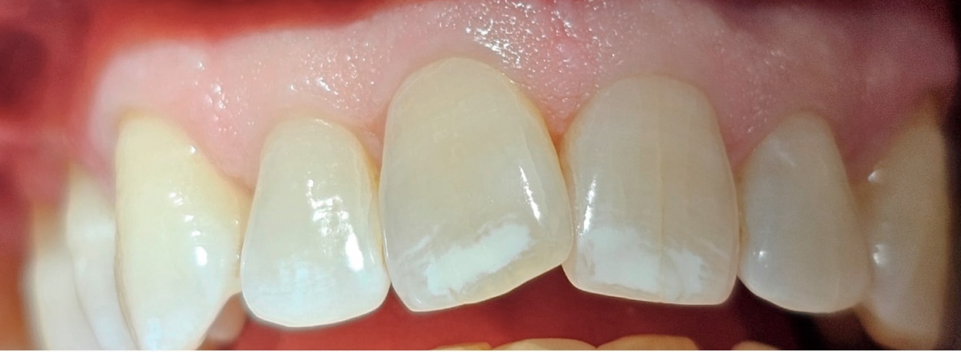
Estética Dentária
Manchas

Preenchimento com Icon.

ANTES
DEPOIS
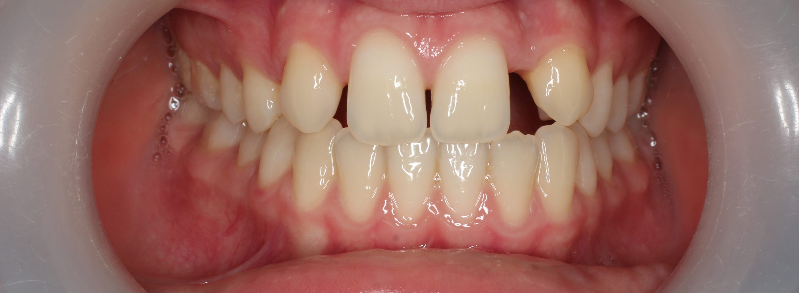
Multidisciplinares
Multidisciplinar – Caso 1

Agenesia dos incisivos laterais superiores. Tratamento ortodôntico para abertura de espaços, seguido da colocação de duas  Marylands e coronoplastia dos caninos com resina injetável.

ANTES
DEPOIS
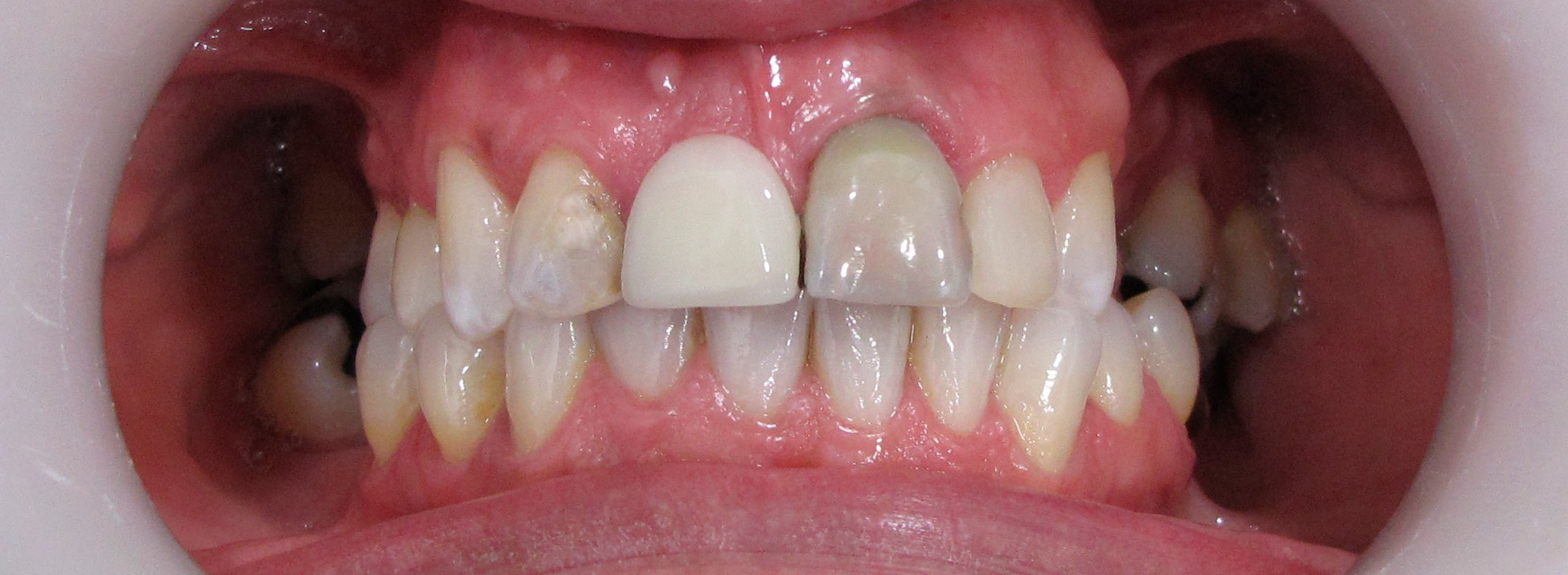
Multidisciplinares
Multidisciplinar – Caso 2

Paciente com ausência do incisivo central superior direito e com ponte antiga pouco estética. Remoção da ponte antiga, branqueamento interno do incisivo lateral superior direito para uniformização da cor, restaurações em resina para melhoria da harmonia e da função, colocação de implantes e respetivas coroas em zircónio estratificado nas zonas anterior e posterior.

ANTES
DEPOIS
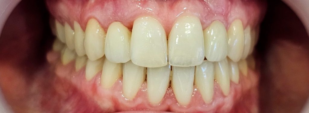
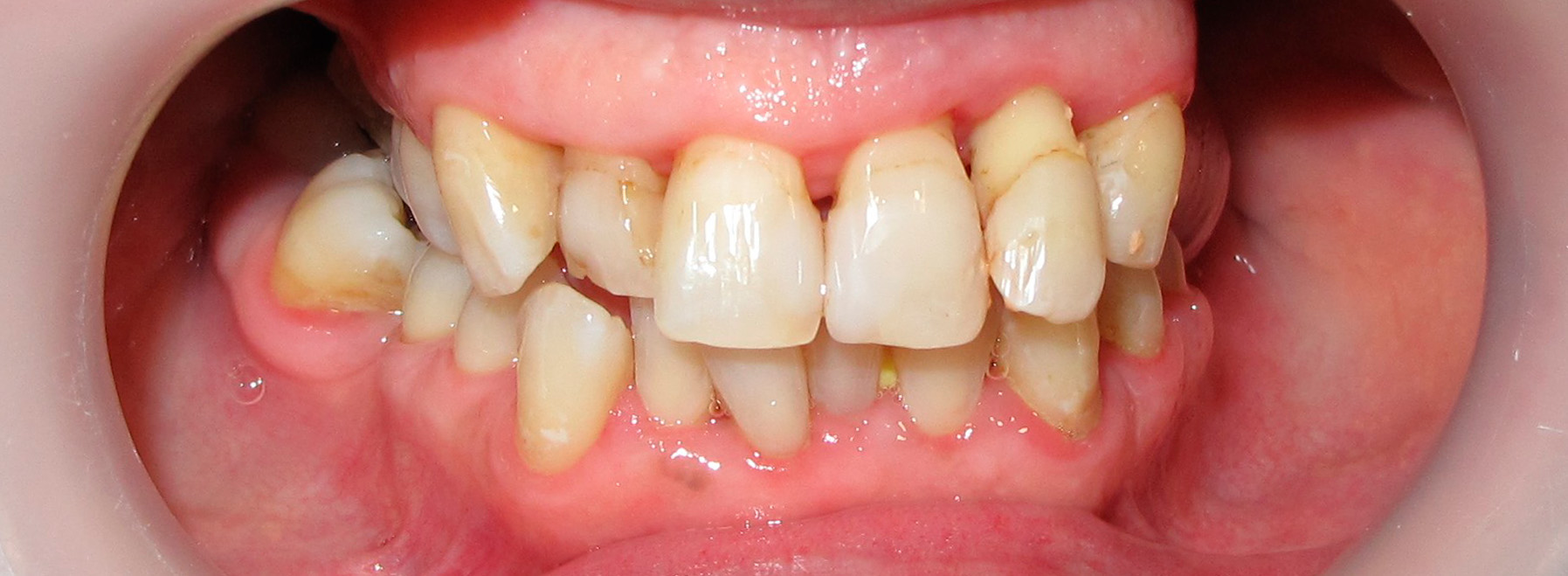
Multidisciplinares
Multidisciplinar – Caso 3

Tratamento ortodôntico, branqueamento dentário externo e finalização com facetas.

ANTES
DEPOIS
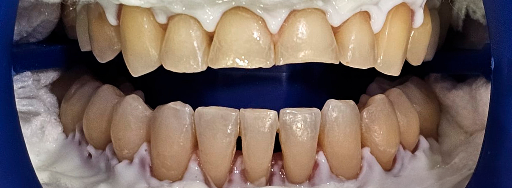
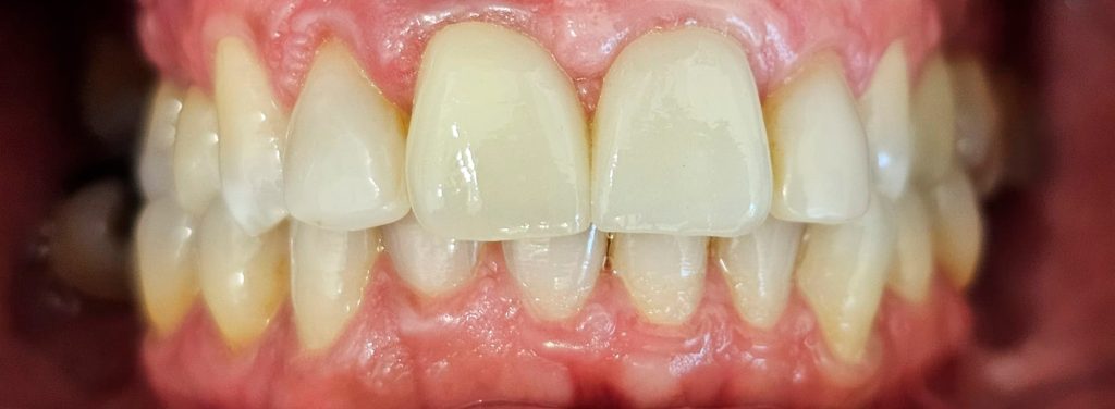
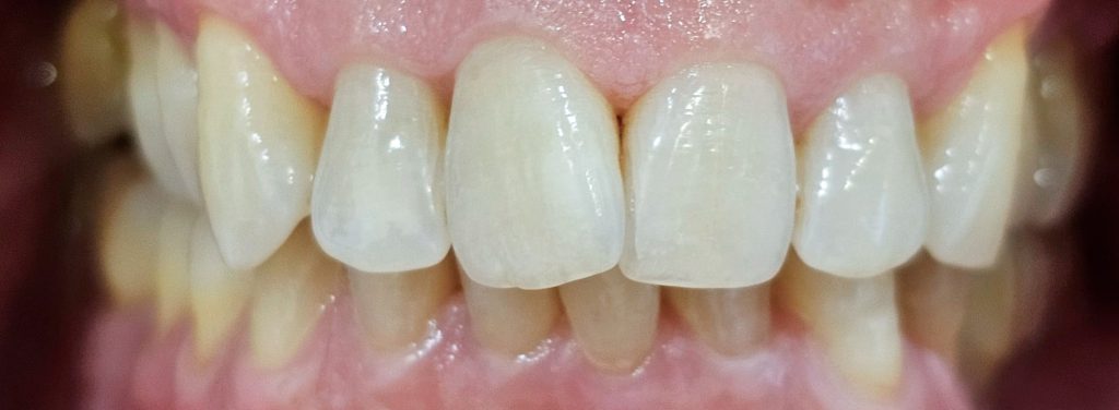
Reabilitação com Facetas
Reabilitação com Facetas e Coroas – Caso 1

Reabilitação completa do sorriso, com fecho de diastema através de facetas e colocação de coroas.

ANTES
DEPOIS
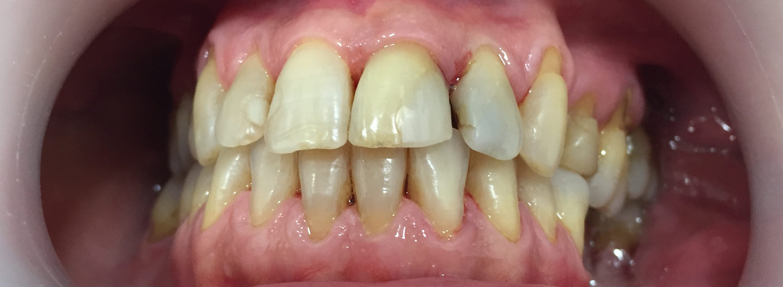
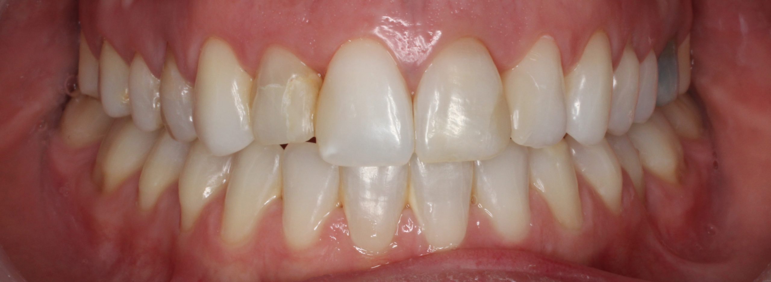
Reabilitação com Facetas
Reabilitação com Facetas e Coroas – Caso 2

Reabilitação estética e funcional com facetas cerâmicas de canino a canino superior para encerramento de diastemas. Na arcada inferior, foram realizadas restaurações diretas em resina e próteses para reposição dos dentes ausentes.

ANTES
DEPOIS
Reabilitação com Facetas
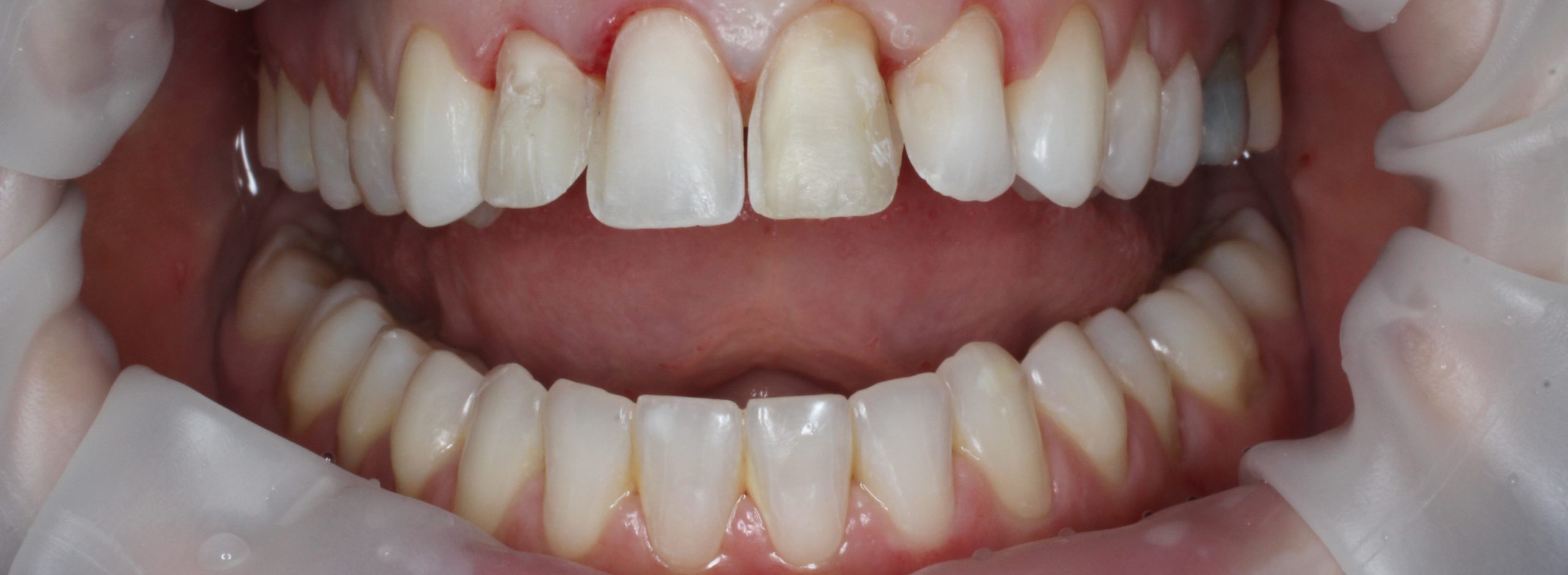
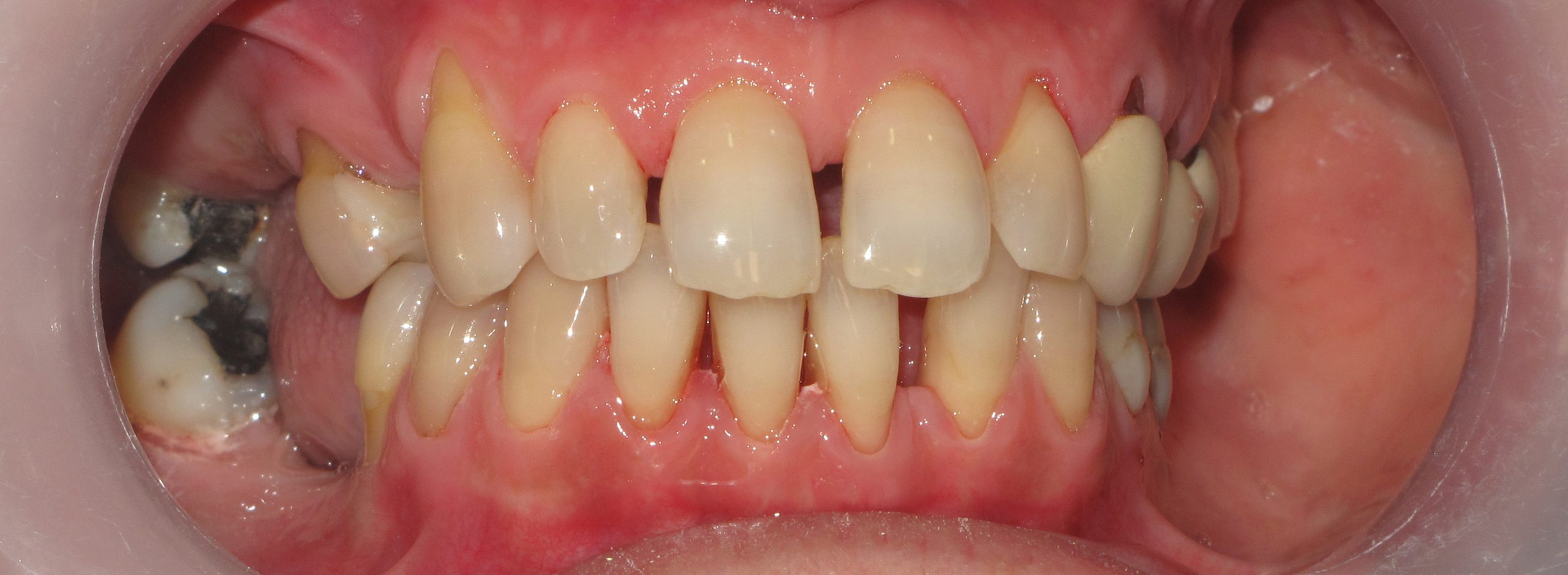
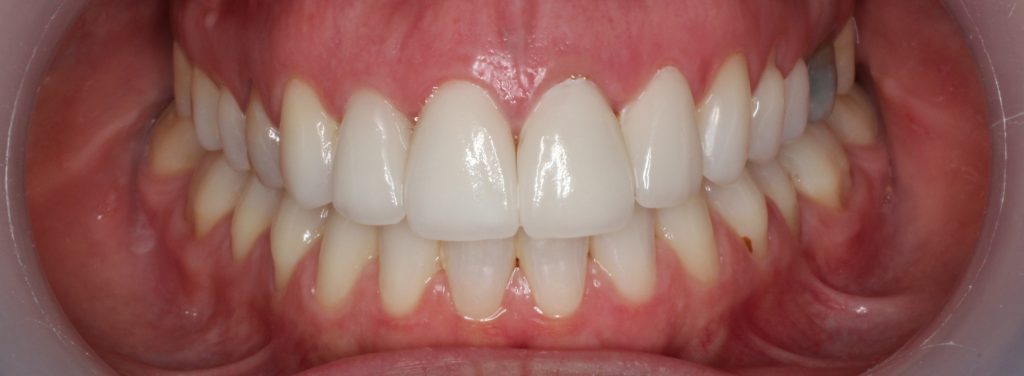
Reabilitação com Facetas e Coroas – Caso 3

Tratamento periodontal, seguido de branqueamento externo, colocação de facetas cerâmicas e uma coroa.

ANTES
DEPOIS
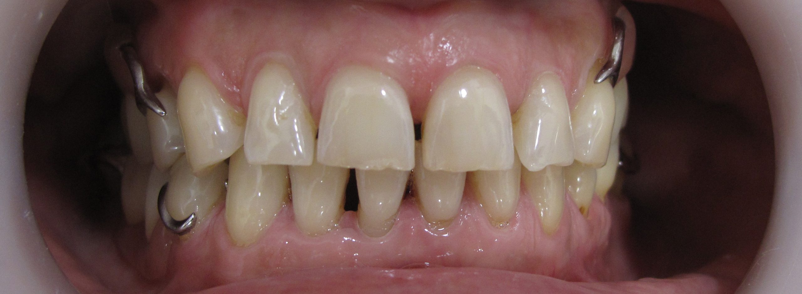
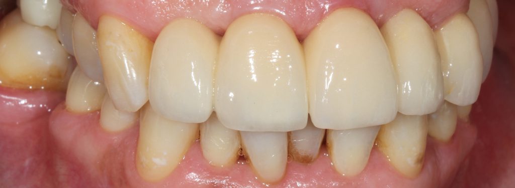
Implantologia
Reabilitação Parcial com Implantes – Caso 1

Extração de peças dentárias superiores e colocação de implantes.

A sua saúde oral, a nossa missão.

Marque a sua consulta e deixe a nossa equipa de especialistas cuidar da sua saúde oral com excelência e dedicação.