Casos Clínicos

Transformações Reais, Sorrisos Verdadeiros

Na Clínica RR, acreditamos que cada sorriso conta uma história. Através da nossa experiência e tecnologia inovadora, ajudamos os nossos pacientes a recuperar a confiança e a saúde oral.

Antes e Depois
Veja os resultados incríveis alcançados pelos nossos especialistas. Cada caso clínico reflete o nosso compromisso com a excelência e a personalização dos tratamentos.

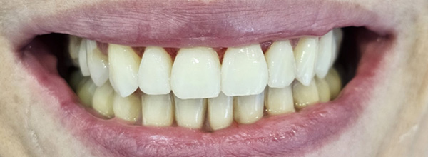
ANTES
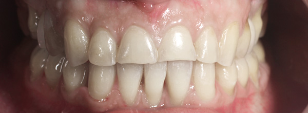
DEPOIS
Estética Dentária
Branqueamento

Branqueamento externo.

ANTES
DEPOIS
Estética Dentária
Manchas

Preenchimento com Icon.

ANTES
DEPOIS
Estética Dentária
Biomimetismo

Resina injetável nos dentes superiores de canino a canino.

A sua saúde oral, a nossa missão.

Marque a sua consulta e deixe a nossa equipa de especialistas cuidar da sua saúde oral com excelência e dedicação.