Casos Clínicos

Transformações Reais, Sorrisos Verdadeiros

Na Clínica RR, acreditamos que cada sorriso conta uma história. Através da nossa experiência e tecnologia inovadora, ajudamos os nossos pacientes a recuperar a confiança e a saúde oral.

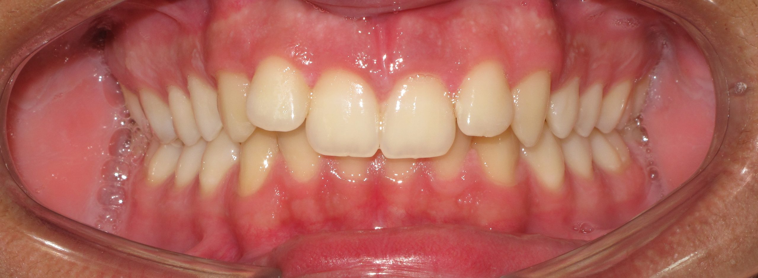
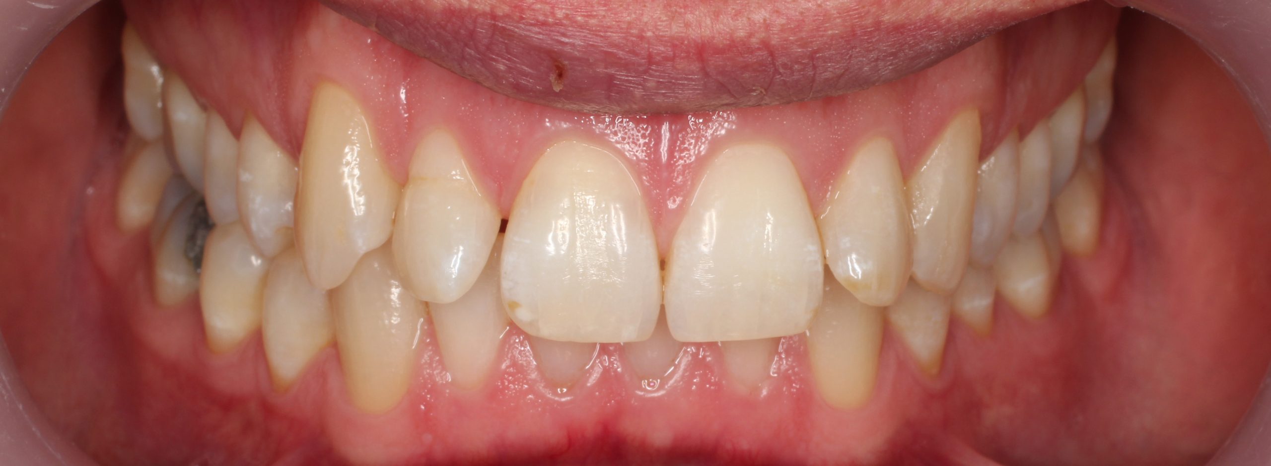
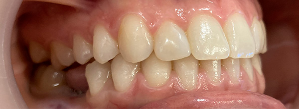
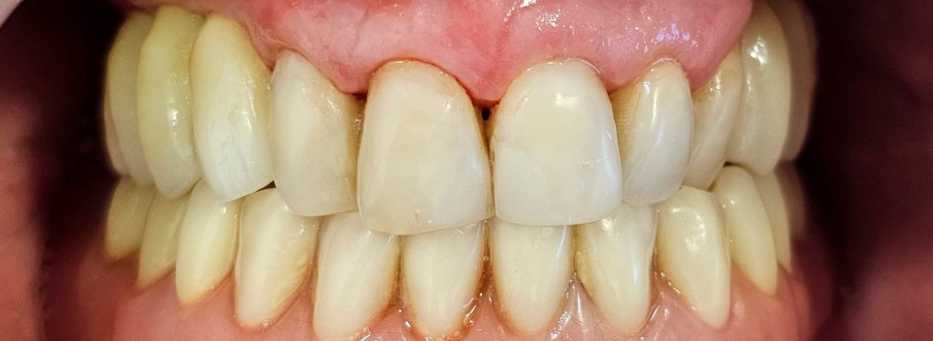
Antes e Depois
Veja os resultados incríveis alcançados pelos nossos especialistas. Cada caso clínico reflete o nosso compromisso com a excelência e a personalização dos tratamentos.

ANTES
DEPOIS
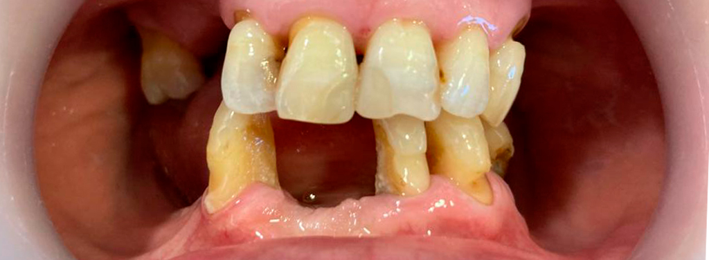
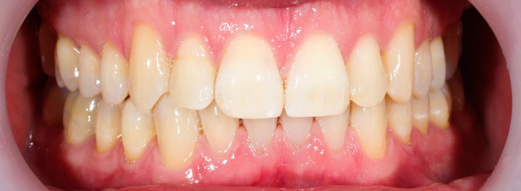
Implantologia
Reabilitação Parcial com Implantes – Caso 2

Reabilitação oral com recurso a regeneração óssea e gengival, seguida de colocação de implantes.

ANTES
DEPOIS
Implantologia
Reabilitação Parcial com Implantes – Caso 3

Substituição do molar inferior ausente por implante.

ANTES
DEPOIS
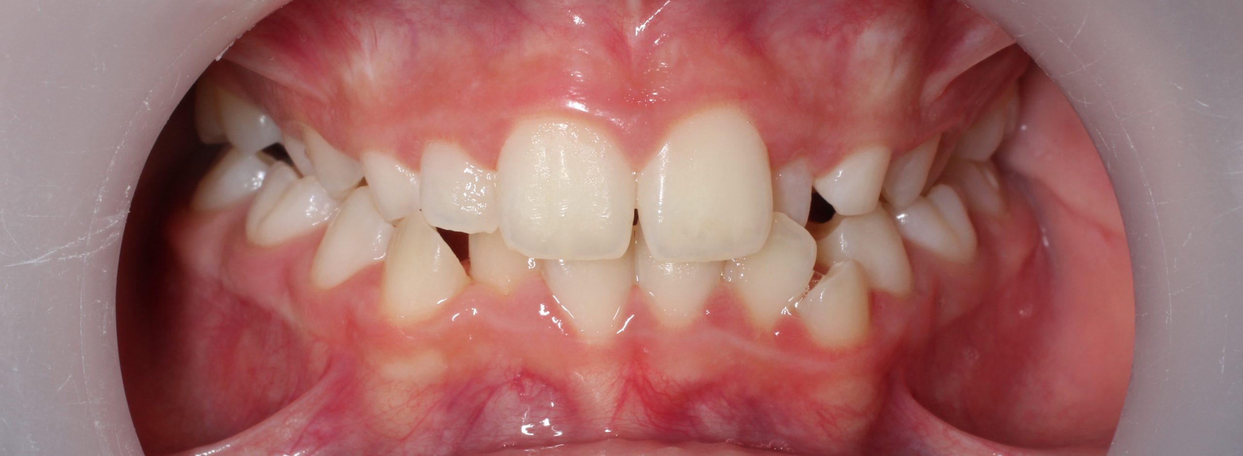
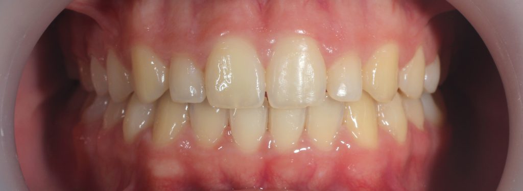
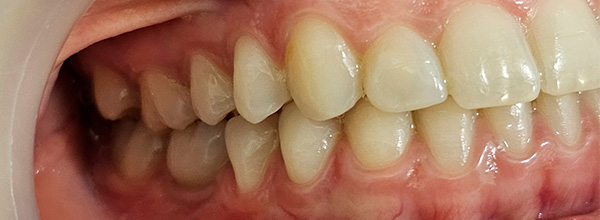
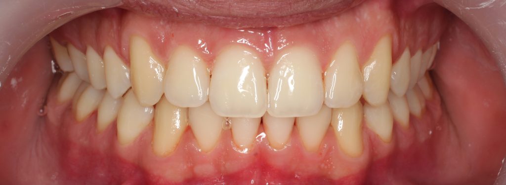
Ortodontia
Ortodontia com Aparelho Fixo
ANTES
DEPOIS
Ortodontia
Ortodontia Intercetiva e Corretiva

Uso de expansor e aparelho fixo.

ANTES
DEPOIS
Ortodontia
Ortodontia com Alinhadores
ANTES
DEPOIS
Periodontologia
Correção de Recessões Gengivais – Caso 1
ANTES
DEPOIS
Periodontologia
Correção de Recessões Gengivais – Caso 2

Enxerto inferior e superior.

ANTES
DEPOIS
Estética Dentária
Biomimetismo

Resina injetável nos dentes superiores de canino a canino.

A sua saúde oral, a nossa missão.

Marque a sua consulta e deixe a nossa equipa de especialistas cuidar da sua saúde oral com excelência e dedicação.